image

NIPS

NIPS to Healthcare Professionals

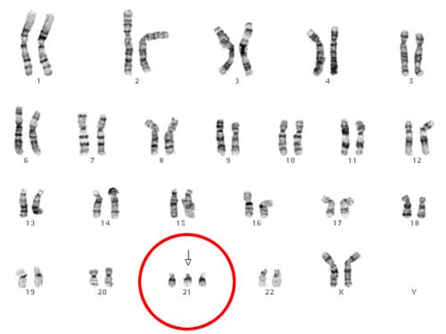
“NIPS is the abbreviation for Non-Invasive Prenatal Screening. NIPS was adopted as the official name for this Down syndrome screening technique by the American College of Medical Genetics (ACMG) in 2013, but other names include Non-Invasive Prenatal Diagnosis (NIPD), Non-Invasive Prenatal Test (NIPT) or Non-Invasive Fetal TrisomY test (NIFTY).”